
A standardized eye exam may soon help diagnose long COVID syndrome or post-COVID, as researchers at the Technical University of Munich (TUM) have found a clear link between the disease and specific changes in eye blood vessels.
Between 10% and 35% of individuals with long COVID experience persistent symptoms like respiratory issues and fatigue long after their initial COVID infection. However, reliable diagnostic biomarkers for long COVID have remained elusive.
One characteristic of COVID-19 is its impact on blood vessels, particularly the inner walls of these vessels known as the endothelium. These changes can lead to inadequate blood supply to various organs in the body.
While prior research has primarily focused on large blood vessels, it's worth noting that approximately 90% of endothelial cells in the body are found in small and tiny vessels. The impact of these changes on such vessels in cases of long COVID remains poorly understood, according to Prof. Christoph Schmaderer, the leader of the study and Managing Senior Physician in the Department of Nephrology at Klinikum rechts der Isar, TUM's university hospital.
"Blood vessels in the eye could offer a clue to the condition of small blood vessels in the whole body," Schmaderer remarks. He emphasizes their accessibility for examination and notes that the required methods and tools have undergone rigorous testing, avoiding any need for bodily intervention.
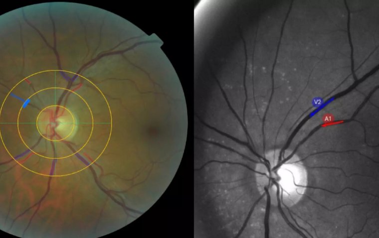
Co-leading the study with Dr. Timon Kuchler, Schmaderer and their team outline their findings in the journal Angiogenesis. Two specific indicators exhibited a strong association with long COVID cases.
Firstly, arterioles, the tiniest arteries, displayed significant constriction compared to the healthy control group. Secondly, venules, though not arterioles, exhibited an altered response to light stimulation. When a flickering light is shone into the eye, blood vessels typically dilate. However, in patients with long COVID, this response was notably reduced.
The extent of changes correlated with the number of inflammatory markers measured in participants' blood, suggesting a potential link between persistent inflammation and long COVID.
Given the study's relatively small size, involving 41 afflicted participants and conducted solely in one hospital, it does not yet provide a definitive test for long COVID. The researchers emphasize the need for further studies to validate these findings.
Schmaderer expresses confidence in the development of a diagnostic tool based on their results for confidently diagnosing long COVID. Furthermore, they hypothesize that microcirculation restrictions may not be limited to the eye but could extend to other areas of the body, making this method valuable for assessing the efficacy of future long COVID therapies.
Reference
Timon Kuchler et al, Persistent endothelial dysfunction in post-COVID-19 syndrome and its associations with symptom severity and chronic inflammation, Angiogenesis (2023). DOI: 10.1007/s10456-023-09885-6