Ocular Toxoplasmosis: Causes, Treatment, and Prevention

Ocular Toxoplasmosis: Causes, Treatment, and Prevention

October 05, 2023

What Is Ocular Toxoplasmosis?

Ocular toxoplasmosis is an eye infection caused by the Toxoplasma gondii parasite. It is a form of toxoplasmosis that specifically affects the eyes, often leading to inflammation of the retina, and potentially causing vision problems, including blindness in severe cases. This condition is one of the most common causes of posterior uveitis, affecting both immunocompetent and immunocompromised individuals.

The prevalence of ocular toxoplasmosis varies by region and population. It is more common in areas where the parasite is prevalent and in populations with higher exposure to the risk factors. Individuals who are immunocompromised, such as those with HIV/AIDS, are at a higher risk of developing severe complications from ocular toxoplasmosis. Pregnant women are also considered to be at risk because the infection can be transmitted to the unborn child.

Ocular Toxoplasmosis Causes

Ocular toxoplasmosis is primarily caused by the Toxoplasma gondii parasite, which can be transmitted to the eye through various means. One of the most common ways of transmission is through accidental ingestion of the parasite's oocysts, which can be found in contaminated soil, water, or cat feces. Handling cat litter without proper hygiene practices can therefore be a risk factor for Toxoplasma gondii transmission.

Another notable risk factor is the consumption of undercooked or raw meat, especially pork, lamb, or venison, which can contain tissue cysts of the parasite. The parasite then travels through the bloodstream and may localize in the eye, causing the typical symptoms of ocular toxoplasmosis. It can also be acquired through vertical transmission from an infected mother to her unborn child, leading to congenital toxoplasmosis which can include ocular involvement.

Other less common routes of transmission include blood transfusion and organ transplantation from an infected donor. Good hygiene practices, including washing hands thoroughly and cooking meat to a safe temperature, can help minimize the risk of infection.

Symptoms and Diagnosis of Ocular Toxoplasmosis

The symptoms of ocular toxoplasmosis can vary in intensity and presentation but commonly include blurred vision, eye pain, redness, and sensitivity to light. Some patients may also experience floaters, which are dark specks that appear to float in the field of vision. In severe cases, there might be symptoms of uveitis, which is inflammation of the middle layer of the eye.

Diagnosis of ocular toxoplasmosis is usually made by an ophthalmologist through a comprehensive eye examination. This typically involves a slit-lamp examination to inspect the interior of the eye and may be supplemented by diagnostic tests like fluorescein angiography or optical coherence tomography (OCT) to obtain detailed images of the eye. Blood tests may also be performed to check for the presence of Toxoplasma gondii antibodies, although this is often not definitive for diagnosing the ocular form of the disease.

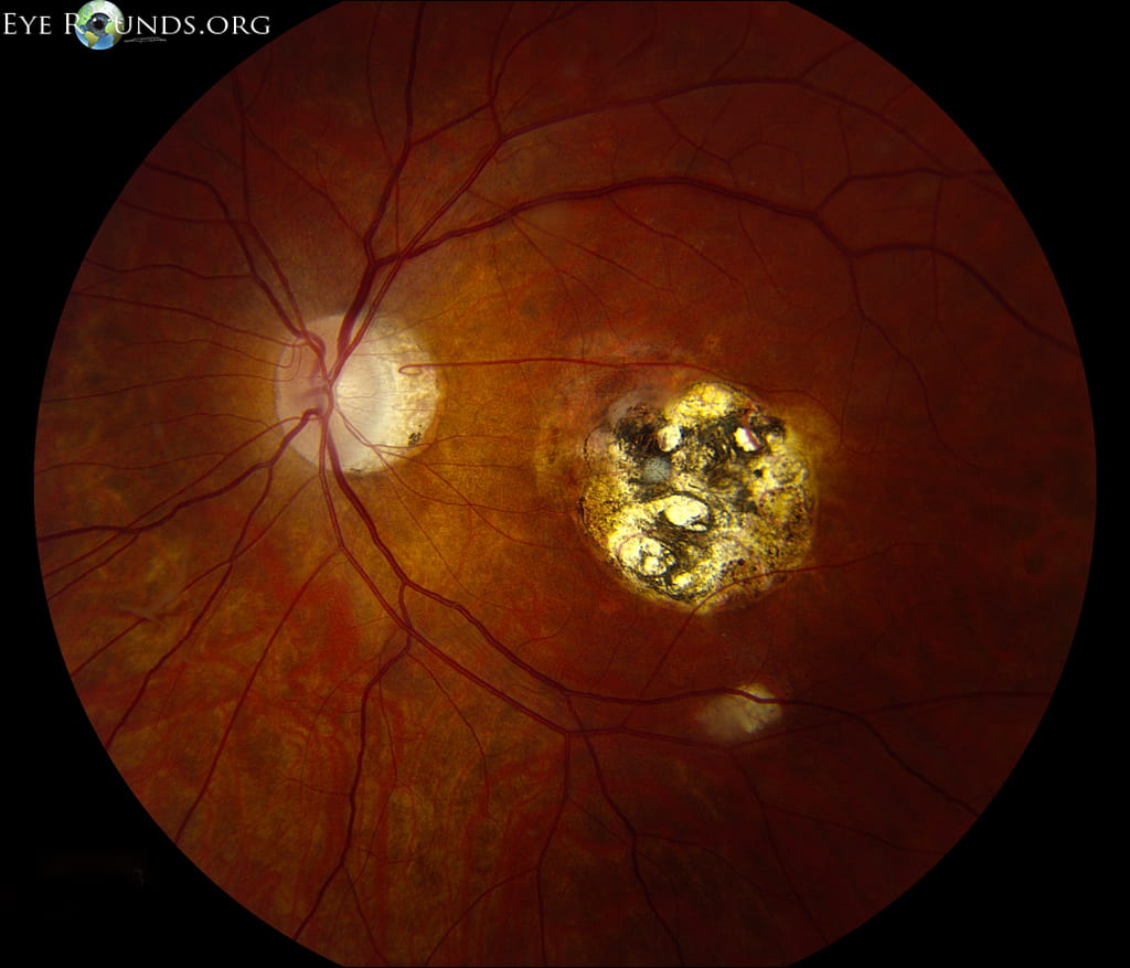
Ocular Toxoplasmosis

Treatment of Ocular Toxoplasmosis

Treatment for ocular toxoplasmosis primarily involves the use of medications aimed at eradicating the Toxoplasma gondii parasite and managing symptoms. Antibiotics like pyrimethamine and sulfadiazine are often prescribed to kill the parasite, while corticosteroids may be used to control inflammation and reduce pain. Anti-inflammatory eye drops can also be prescribed to alleviate discomfort. In severe cases or in cases where the infection is unresponsive to medication, surgical interventions like vitrectomy may be considered.

Early intervention is crucial for the effective management of ocular toxoplasmosis. The sooner treatment is initiated, the better the chances of preserving vision and minimizing permanent ocular damage. Therefore, it is important to seek medical advice as soon as symptoms are noticed.

How to Prevent Ocular Toxoplasmosis

Preventing ocular toxoplasmosis starts with understanding how the Toxoplasma gondii parasite is transmitted and then taking steps to minimize exposure. Here are some effective preventive measures:

1. Safe Food Handling: Always cook meat to the recommended temperatures and avoid consuming undercooked or raw meat.

2. Good Hygiene: Wash fruits and vegetables thoroughly. Make sure to also wash your hands after handling raw meat or soil.

3. Water Safety: Drink only from clean and safe water sources, as contaminated water could harbor the parasite.

4. Pet Safety: If you have cats, make sure they are not eating raw meat or scavenging. Always wash your hands after handling cat litter and consider wearing gloves.

5. General Sanitation: Use hand sanitizers and keep your living environment clean.

6. Avoid Contaminated Areas: Places like construction sites or any areas where soil may be contaminated should be avoided.

By practicing these prevention techniques, you can reduce your risk of contracting ocular toxoplasmosis. Timely preventive measures can go a long way in ensuring that you remain unaffected by this condition.

Complications and Long-term Effects

Untreated ocular toxoplasmosis can lead to a range of complications that may have severe consequences for your long-term eye health. The infection can cause retinal inflammation, leading to a loss of vision in the affected eye. Moreover, complications can escalate to conditions such as retinal detachment, glaucoma, or cataracts if left untreated. Recurrent flare-ups are also a concern, further compromising eye health over time.

Other serious complications can include uveitis (inflammation of the middle layer of the eye), vitritis (inflammation of the vitreous body), and choroiditis (inflammation of the choroid layer), among others. These conditions can lead to irreversible vision loss if not managed effectively.

Summary

Ocular toxoplasmosis is a concerning eye condition caused by the Toxoplasma gondii parasite. With symptoms ranging from blurred vision to eye pain, this condition warrants immediate medical attention. Risk factors include handling cat litter and consuming undercooked meat, among others. Diagnosis involves a thorough eye examination by an ophthalmologist, and treatments usually consist of antibiotics and anti-inflammatory medications. The condition can lead to serious complications if not treated early, affecting your long-term eye health.

If you suspect you have symptoms of ocular toxoplasmosis or are at risk of developing it, we strongly recommend seeking professional medical advice as soon as possible. Timely diagnosis and intervention are critical in preventing complications and ensuring better long-term outcomes for your eye health.

FAQ

What is ocular toxoplasmosis?
Ocular toxoplasmosis is an eye infection caused by the parasite Toxoplasma gondii. It can affect the retina and potentially lead to vision problems.
How do you get infected with Toxoplasma gondii?
Infection can occur through contact with contaminated cat feces, undercooked or raw infected meat, contaminated soil, or by congenital transmission from an infected mother to her baby.
What are the symptoms of ocular toxoplasmosis?
Common symptoms include blurred vision, eye pain, redness, sensitivity to light, and floaters. Some individuals may not have any noticeable symptoms.
What are the treatment options for ocular toxoplasmosis?
Treatment typically involves the use of antibiotics such as pyrimethamine and sulfadiazine, along with corticosteroids to reduce inflammation. Anti-parasitic medications may also be prescribed.
Can ocular toxoplasmosis cause permanent vision loss?
In some cases, ocular toxoplasmosis can lead to permanent vision loss if not treated promptly. Timely intervention is crucial to minimize the risk.
How can I prevent ocular toxoplasmosis?
Preventive measures include washing hands thoroughly after handling cat litter, avoiding consuming undercooked or raw meat, wearing gloves when gardening, and practicing good hygiene during pregnancy.